Артём Рыженко|Спортивная Медицина

Артём Рыженко|Спортивная Медицина

Спорт

Экс врач "Амкала", Женского "Спартака" и Сборной России по футболу VK: https://vk.com/art_ryzhenko IG: https://www.instagram.com/art_ryzhenko За вторым мнением и по обращениям онлайн сюда: https://taplink.cc/footmed

Content AI от TeleGraphyx

Мониторьте этот канал — посты, тренды, конкуренты

Подключить Content AI
Подписчиков
6.7k
-30 за месяц
ERR
0.5%
Ниже среднего
Рост за месяц
-0.4%
vs +0.9% в категории
Ср. просмотры
1.7k
За пост
Постов в день
0.3
В среднем

Обзор канала

  • Платформа Telegram
  • Категория Спорт
  • Подписчики 6 660
  • Температура Тёплый
  • Постов/день 0.3
  • Тип Публичный

Динамика подписчиков

Последние 90 дней

Это ваш канал?

Подключите TeleGraphyx Traffic и получайте целевых подписчиков от 15₽.

Оплата за результат
Настройка за 10 минут
25,000 каналов подключено
Подключить канал

Вовлечённость (ERR)

Средний ERR: 0.5%
В категории: 7.3%

Анализ публикаций

30 дней
8
постов всего
0.3
в день
1.7k
ср. просмотров
30,75
ср. реакций
0
ср. репостов
0
ср. комментов

Типы контента

Текст 38% Фото 63%

Популярные посты

Часто споры вызывает употребление мяса профессиональными футболистами. Что говорит наука? Красное мясо (животные), белое мясо (птица) и рыба — необходимы профессиональным спортсменам. Почему? Они явл

23 мар. 2026 г.
3.8k 44

Немного поиграл в дизайнера. Несколько часов работы в фотошопе и нейронке и вот я уже немного дизайнер. Игроки часто задают совершенно разные вопросы по питанию, нутриентам и бадам. Чтобы не быть г

10 мар. 2026 г.
2.2k 43

Народ я все понимаю, но Лангу дышал не кислородом, а Пентроксом. Это ингаляционный анестетик, который облегчает боль, снимает тревогу и вызывает эффект поверхностной седации. По сути это легкий нарко

19 мар. 2026 г.
1.7k 40

Леон Зайдензаль избежал серьёзного повреждения в игре с ЦСКА Ждём нашего защитника на поле в ближайших матчах 🙌 @fcdynamo

10 мар. 2026 г.
1.5k 19 0

Думаю, нужен эксплейнер по ситуации с Мбаппе. Давайте кратко: 1. «Перепутали колено» это точно вброс или намеренное преувеличение. Я думаю, что речь шла о том, что во Франции Килиану смогли подобрать

25 мар. 2026 г.
1.4k 53

Ох, Богосавц точно тяжелое сотрясение. Возможно перелом верхней челюсти. Не исключаю травмы шеи. В такие моменты конечно нужно сразу скорую, а не кар на поле.

21 мар. 2026 г.
1.3k 25

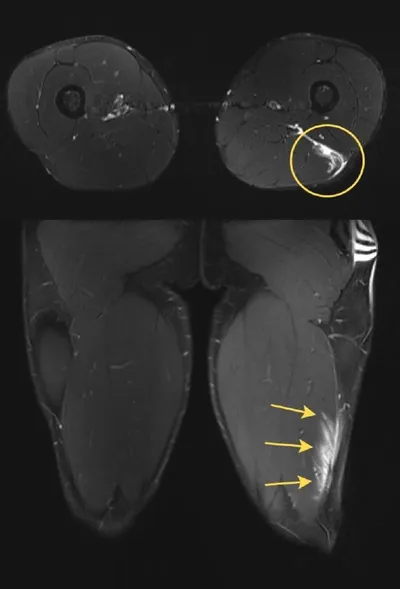
В подавляющем большинстве случаев радиологи не указывают степень повреждения мышц по наиболее актуальной классификации и очень часто неправильно указывают локализацию повреждений Совсем недавно в «

22 мар. 2026 г.
1.1k 18

Думаю, нужен эксплейнер по ситуации с Мбаппе. Давайте кратко: 1. «Перепутали колено» это точно вброс или намеренное преувеличение. Я думаю, что речь шла о том, что во Франции Килиану смогли подобрать

27 мар. 2026 г.
819 7
CONTENT AI ОТ TELEGRAPHYX

Хотите контент как у лучших? AI сделает

AI изучит стиль топовых каналов в нише и создаст уникальные посты, обложки и стратегию для вашего канала. Полный автопилот — от идеи до публикации.

Content AI — мониторинг 24/7 AI-посты в стиле канала Автообложки
Попробовать бесплатно Настройка за 5 минут · Без карты

Подписывайтесь на наши каналы

Кейсы, лайфхаки и новости о продвижении в мессенджерах

Telegram

@tgraphyx

Новости сервиса, кейсы клиентов

5 200+ подписчиков

Подписаться
Max

TeleGraphyx в Max

Всё о продвижении в Max

5 200+ подписчиков

Подписаться