Русская радиология - Цориев Андрей Эльдарович

Русская радиология - Цориев Андрей Эльдарович

Медицина

Врач Андрей Эльдарович Цориев ⛔️Спам, политика, религия, флуд, троллинг, оскорбления = бан ⛔️ …мне можно… нужна консультация - присылайте dicom в формате .zip Фото экрана и другие обрезки не консультируем и стираем безжалостно

Content AI от TeleGraphyx

Мониторьте этот канал — посты, тренды, конкуренты

Подключить Content AI
Подписчиков
12.0k
ERR
0.4%
Ниже среднего
Рост за месяц
0%
Ср. просмотры
2.9k
За пост
Постов в день
1.6
В среднем

Обзор канала

  • Платформа Telegram
  • Категория Медицина
  • Подписчики 12 000
  • Температура Тёплый
  • Постов/день 1.6
  • Тип Публичный

Динамика подписчиков

Последние 90 дней

Это ваш канал?

Подключите TeleGraphyx Traffic и получайте целевых подписчиков от 15₽.

Оплата за результат
Настройка за 10 минут
25,000 каналов подключено
Подключить канал

Вовлечённость (ERR)

Средний ERR: 0.4%
В категории: 1.1%

Анализ публикаций

30 дней
49
постов всего
1.6
в день
2.9k
ср. просмотров
18,143
ср. реакций
4,408
ср. репостов
1,551
ср. комментов

Типы контента

Текст 29% Фото 53% Видео 6% Другое 12%

Лучшее время (МСК)

Популярные посты

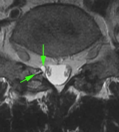
Рецидив атипичной спинальной менингиомы (первые снимки -2,5 года назад, после операции), за последний месяц - ухудшение состояния в виде нижнего парапареза и болей в спине. опухоль диффузная и муфтооб

13 мар. 2026 г.
3.8k 4 3

Диагноз по одной картинке, все, как я люблю (надеюсь, что моя любовь уже передалась и вам).

12 мар. 2026 г.
3.8k 32 7

Приватные обсуждения в 🐳 You've been invited to join Russian radiology as a Peer. To connect, paste the link into Keet.io, the unstoppable P2P chat app. See you there! Invite expires at 2026/3/23

9 мар. 2026 г.
3.8k 0 2

Донаты тестим

12 мар. 2026 г.
3.7k 0 0

Про новые биомаркеры РС в свежем обзоре от Радиографикса. ВАЖНО ЗАПОМНИТЬ „ Гистопатологически CVS соответствует наличию небольшой вены, расположенной в центре очагов демиелинизации, отражающей пер

5 мар. 2026 г.
3.6k 13 33

Рентгенолог со стажем с 1996 года. Кандидат наук. Преподаватель.

12 мар. 2026 г.
3.6k 40 7

Приватный чат

12 мар. 2026 г.
3.6k 1 1

ОЦ СПИД, г. Екатеринбург, ул. Ясная, 46 в поисках невролога. • амбулаторный прием • работа по совместительству, на 0,5 ставки (2 раза в неделю), график обговаривается дополнительно. центр работает

7 мар. 2026 г.
3.5k 10 4

так полечили рак прямой кишки, что вследствие недостаточности тазового дна газ теперь в кишках бурлит под кошей ягодиц. Первый раз вижу выпадение петель тонкой кишки! Коллеги по началу растерялись,

12 мар. 2026 г.
3.5k 41 6

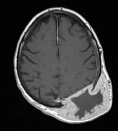
Метастаз рака почки у пациента 55 лет... 🦞😱

13 мар. 2026 г.
3.5k 39 23
CONTENT AI ОТ TELEGRAPHYX

Хотите контент как у лучших? AI сделает

AI изучит стиль топовых каналов в нише и создаст уникальные посты, обложки и стратегию для вашего канала. Полный автопилот — от идеи до публикации.

Content AI — мониторинг 24/7 AI-посты в стиле канала Автообложки
Попробовать бесплатно Настройка за 5 минут · Без карты

Подписывайтесь на наши каналы

Кейсы, лайфхаки и новости о продвижении в мессенджерах

Telegram

@tgraphyx

Новости сервиса, кейсы клиентов

5 200+ подписчиков

Подписаться
Max

TeleGraphyx в Max

Всё о продвижении в Max

5 200+ подписчиков

Подписаться