Заметки доктора ТЭО

Заметки доктора ТЭО

Медицина

Канал о неврологии, реабилитации и немного о жизни Все материалы облагаются авторскими правами. Копировать, выносить куда-либо, использовать в других целях - запрещено. Обратная связь тут → @Dr_TEO

Content AI от TeleGraphyx

Мониторьте этот канал — посты, тренды, конкуренты

Подключить Content AI
Подписчиков
10.4k
+101 за месяц
ERR
0.5%
Ниже среднего
Рост за месяц
+1.0%
vs +1.2% в категории
Ср. просмотры
2.4k
За пост
Постов в день
0.3
В среднем

Обзор канала

  • Платформа Telegram
  • Категория Медицина
  • Подписчики 10 400
  • Температура Тёплый
  • Постов/день 0.3
  • Тип Публичный

Динамика подписчиков

Последние 90 дней

Это ваш канал?

Подключите TeleGraphyx Traffic и получайте целевых подписчиков от 15₽.

Оплата за результат
Настройка за 10 минут
25,000 каналов подключено
Подключить канал

Вовлечённость (ERR)

Средний ERR: 0.5%
В категории: 1.1%

Анализ публикаций

30 дней
9
постов всего
0.3
в день
2.4k
ср. просмотров
42,111
ср. реакций
16,333
ср. репостов
4,556
ср. комментов

Типы контента

Текст 11% Фото 78% Видео 11%

Лучшее время (МСК)

Популярные посты

Апдейт по клин исследованию! Мы набрали уже 175+ пациентов. На данный момент направлено на секвенироние 140+ образцов. Результаты пришли у 70 пациентов, но пока мы не приступили к расшифровке данных

3 мар. 2026 г.
4.0k 39 21

Привет друзья По многочисленным запросам, решил внести ясность в отношении недавней новости о прорыве в лечении болезни Паркинсона из Японии. Что такое iPSC-терапия? iPSC-терапия — это вид регенера

8 мар. 2026 г.
3.6k 98 27

Привет друзья В прошлый раз я тут публиковал курс по амбулаторную неврологию, мне кажется уместным поделиться курсом про экстренную неврологию, про нарушение сознания, остро возникший неврологическ

28 февр. 2026 г.
3.0k 23 5

Привет друзья В 2018 году я познакомился с директором ассоциации пациентов с болезнью Паркинсона в Малайзии, и тогда будучи начинающим врачом, я понял невероятную важность функционирующей ассоциации

16 мар. 2026 г.
2.9k 35 2

Привет друзья Наконец свершилось! С доктором Милюхиной мы таки решили сделать (как мне кажется впервые) конференцию посвященную сугубо проблеме атипичного паркинсонизма. Мы обсудим как типичных пред

3 мар. 2026 г.
2.9k 54 37

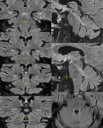
Привет друзья На серии МРТ вы наблюдаете признак зебры (префронтальной коры). Данный признак свидетельствует о наличии нейродегенерации с отложением железа в префронтальной коре (что характерно с точ

14 мар. 2026 г.
2.0k 58 19

Как Вы видите, умение видеть на снимках специфические изменения, порой могут с высокой точностью подвести к генетическому диагнозу и персонифицированному лечению. Поэтому если хотите углубить свои зна

15 мар. 2026 г.
2.0k 13 3

Привет друзья Уходящая неделя у меня была интересной на разные МР признаки, поэтому хотелось бы с Вами их обсудить. Вы наблюдаете серию снимков МРТ женщины 80 лет с 1,5‑летней историей постепенно на

15 мар. 2026 г.
1.9k 26 11

Привет друзья Очень мало тут появляюсь ввиду большой активности и просто не успеваю готовить материал для канал. НО! 25 марта в 16:00 МСК состоится практический вебинар: «Нейродегенеративный минимум

23 мар. 2026 г.
1.6k 28 15

Привет друзья Наша конференция по атипичному паркинсонизму все ближе Кстати регистрация по ссылке Леводопа-индуцированные дискинезии (LID) не являются патогномоничным признаком болезни Паркинсона.

26 мар. 2026 г.
1.3k 28 12
CONTENT AI ОТ TELEGRAPHYX

Хотите контент как у лучших? AI сделает

AI изучит стиль топовых каналов в нише и создаст уникальные посты, обложки и стратегию для вашего канала. Полный автопилот — от идеи до публикации.

Content AI — мониторинг 24/7 AI-посты в стиле канала Автообложки
Попробовать бесплатно Настройка за 5 минут · Без карты

Подписывайтесь на наши каналы

Кейсы, лайфхаки и новости о продвижении в мессенджерах

Telegram

@tgraphyx

Новости сервиса, кейсы клиентов

5 200+ подписчиков

Подписаться
Max

TeleGraphyx в Max

Всё о продвижении в Max

5 200+ подписчиков

Подписаться