Я Невролог | Неврология

Я Невролог | Неврология

Медицина

#LLRRD Сообщество Врачей Неврологов СОЮЗ России Неврологов Правила Группы: Ссылки - Скрытая Реклама - запрещена бан При нарушение авторских прав мы удалим материалы пишите админу № 4938759476 Реклама - @annaviktorovnamedic

Content AI от TeleGraphyx

Мониторьте этот канал — посты, тренды, конкуренты

Подключить Content AI
Подписчиков
11.6k
+308 за месяц
ERR
0.2%
Ниже среднего
Рост за месяц
+2.7%
vs +1.2% в категории
Ср. просмотры
973,031
За пост
Постов в день
3.2
В среднем

Обзор канала

  • Платформа Telegram
  • Категория Медицина
  • Подписчики 11 600
  • Температура Тёплый
  • Постов/день 3.2
  • Тип Публичный

Динамика подписчиков

Последние 90 дней

Это ваш канал?

Подключите TeleGraphyx Traffic и получайте целевых подписчиков от 15₽.

Оплата за результат
Настройка за 10 минут
25,000 каналов подключено
Подключить канал

Вовлечённость (ERR)

Средний ERR: 0.2%
В категории: 1.1%

Анализ публикаций

30 дней
96
постов всего
3.2
в день
973,031
ср. просмотров
5,125
ср. реакций
6,458
ср. репостов
0,167
ср. комментов

Типы контента

Текст 43% Фото 52% Видео 2% Другое 3%

Лучшее время (МСК)

Популярные посты

Диета и деменция 🧠⏳ Доказано, что даже кратковременное (3 дня) употребление рафинированной пищи с низким содержанием клетчатки (фастфуд,сладкие напитки, шоколад, соусы, белый хлеб и т.п.) вызывает у

3 мар. 2026 г.
1.9k 11 27

Мальчик умер от коревого энцефалита через годы после заражения 📍Семилетний мальчик поступил в клинику с когнитивным дефицитом и судорогами, которые длились 3 месяца. В 7 месяцев он перенес корь в Аф

12 мар. 2026 г.
1.7k 21 19

🔥Центральные причины головокружения: 1) Вестибулярная мигрень; 2) Инсульт в задней циркуляции; 3) Рассеянный склероз; 4) Эпизодические атаксии.

10 мар. 2026 г.
1.6k 13 49

😉В 2025 году вышли методические рекомендации по диагностике и лечению хронической постампутационной боли. На основе данных рекомендаций сделали удобные и практичные в использовании блок-схемы для выд

11 мар. 2026 г.
1.6k 7 15

❗️Мы в MAX - Сообщество Врачей - Канал Врача Кардиолога - Канал Врача Эндокринолога - Медицинская Литература - Канал Врача Невролога - Канал Врача Педиатра - Канал Врача Ко

12 мар. 2026 г.
1.4k 0 0

КЛИНИЧЕСКИЙ СЛУЧАЙ КРБС I типа 👩‍💼Пациентка, 20 лет, обратилась с жалобами на интенсивную боль и отёк в области правой кисти, сопровождающиеся выраженной гипералгезией и аллодинией. Болевой синдром

11 мар. 2026 г.
1.4k 12 8

ДИАГНОСТИЧЕСКИЕ КРИТЕРИИ СИНДРОМА СДАВЛЕНИЯ КОНСКОГО ХВОСТА Синдром сдавления конского хвоста (Cauda equina syndrome) представляет собой неотложное неврологическое состояние, обусловленное компрессией

13 мар. 2026 г.
1.4k 8 15

Оптимальной дозой ацетилсалициловой кислоты для вторичной профилактики инсульта является (в мг) 1) 700-1300 2) 400-500 3) 75-150 4) 500-700 Правильный ответ: 75-150

12 мар. 2026 г.
1.3k 12 0

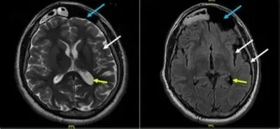
Редкий синдром Дайка-Давидоффа-Массона: когда судороги скрывают атрофию половины мозга без структурных изменений черепа. 🩺 Клиническая картина На прием обратился 18-летний юноша с жалобами на частые

12 мар. 2026 г.
1.3k 15 11

При лечении хореиформных гиперкинезов назначают 1) транквилизаторы 2) нейролептики 3) альфа-адреноблокаторы 4) холинолитики Правильный ответ: нейролептики

11 мар. 2026 г.
1.3k 5 1
CONTENT AI ОТ TELEGRAPHYX

Хотите контент как у лучших? AI сделает

AI изучит стиль топовых каналов в нише и создаст уникальные посты, обложки и стратегию для вашего канала. Полный автопилот — от идеи до публикации.

Content AI — мониторинг 24/7 AI-посты в стиле канала Автообложки
Попробовать бесплатно Настройка за 5 минут · Без карты

Подписывайтесь на наши каналы

Кейсы, лайфхаки и новости о продвижении в мессенджерах

Telegram

@tgraphyx

Новости сервиса, кейсы клиентов

5 200+ подписчиков

Подписаться
Max

TeleGraphyx в Max

Всё о продвижении в Max

5 200+ подписчиков

Подписаться