Медицина

Медицина

Медицина

Образовательное медицинское сообщество. MAX: https://max.ru/medobrazovanye ВКонтакте: https://vk.com/medobrazovanye Заказать рекламу: https://t.me/rek_web https://telega.in/c/medobrazovanye #медицина #болезни #фармакология #терапия

Content AI от TeleGraphyx

Мониторьте этот канал — посты, тренды, конкуренты

Подключить Content AI
Подписчиков
10.5k
-99 за месяц
ERR
0.2%
Ниже среднего
Рост за месяц
-0.9%
vs +1.2% в категории
Ср. просмотры
409,641
За пост
Постов в день
3.4
В среднем

Обзор канала

  • Платформа Telegram
  • Категория Медицина
  • Подписчики 10 500
  • Температура Тёплый
  • Постов/день 3.4
  • Тип Публичный

Динамика подписчиков

Последние 90 дней

Это ваш канал?

Подключите TeleGraphyx Traffic и получайте целевых подписчиков от 15₽.

Оплата за результат
Настройка за 10 минут
25,000 каналов подключено
Подключить канал

Вовлечённость (ERR)

Средний ERR: 0.2%
В категории: 1.1%

Анализ публикаций

30 дней
103
постов всего
3.4
в день
409,641
ср. просмотров
4,184
ср. реакций
1,194
ср. репостов
0
ср. комментов

Типы контента

Текст 33% Фото 64% Видео 2% Другое 1%

Лучшее время (МСК)

Популярные посты

(без текста)

13 мар. 2026 г.
823 4

УЗИ

10 мар. 2026 г.
789 11 9

💫 Причины повреждения клетки Большинство повреждающих агентов можно разделить на следующие группы. 🩺 Гипоксия Гипоксия — недостаток кислорода, вызывающий повреждение клетки через уменьшение аэробн

7 мар. 2026 г.
748 6 8

Основные симптомы гастроэнтерологической патологии (часть 2)

12 мар. 2026 г.
728 4

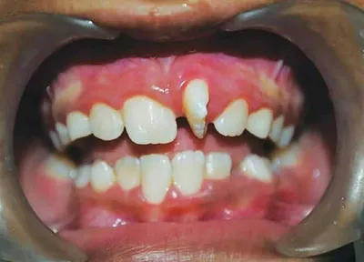
«Танцующие зубы» или тортоаномалия Процесс, в ходе которого зуб начинает поворачиваться вокруг своей оси. Поворот может быть на несколько градусов, под прямым углом или полностью до 180°.

10 мар. 2026 г.
697 9 4

Язвенная болезнь желудка и двенадцатиперстной кишки

11 мар. 2026 г.
691 6 8

Уровень развития ребенка

21 мар. 2026 г.
678 9

Оториноларингология: эндоскопическое исследование, микрориноскопия, эндофотографирование

1 мар. 2026 г.
669 8 2

Вакцины против коклюша, дифтерии и столбняка

8 мар. 2026 г.
655 8 5

Бруцеллез

2 мар. 2026 г.
646 5 8
CONTENT AI ОТ TELEGRAPHYX

Хотите контент как у лучших? AI сделает

AI изучит стиль топовых каналов в нише и создаст уникальные посты, обложки и стратегию для вашего канала. Полный автопилот — от идеи до публикации.

Content AI — мониторинг 24/7 AI-посты в стиле канала Автообложки
Попробовать бесплатно Настройка за 5 минут · Без карты

Подписывайтесь на наши каналы

Кейсы, лайфхаки и новости о продвижении в мессенджерах

Telegram

@tgraphyx

Новости сервиса, кейсы клиентов

5 200+ подписчиков

Подписаться
Max

TeleGraphyx в Max

Всё о продвижении в Max

5 200+ подписчиков

Подписаться