Content AI от TeleGraphyx

Мониторьте этот канал — посты, тренды, конкуренты

Подключить Content AI
Подписчиков
8.5k
+196 за месяц
ERR
0.1%
Ниже среднего
Рост за месяц
+2.3%
vs +1.3% в категории
Ср. просмотры
710,867
За пост
Постов в день
0.5
В среднем

Обзор канала

  • Платформа Telegram
  • Категория Медицина
  • Подписчики 8 500
  • Температура Тёплый
  • Постов/день 0.5
  • Тип Публичный

Динамика подписчиков

Последние 90 дней

Это ваш канал?

Подключите TeleGraphyx Traffic и получайте целевых подписчиков от 15₽.

Оплата за результат
Настройка за 10 минут
25,000 каналов подключено
Подключить канал

Вовлечённость (ERR)

Средний ERR: 0.1%
В категории: 1.1%

Анализ публикаций

30 дней
15
постов всего
0.5
в день
710,867
ср. просмотров
5,8
ср. реакций
2,8
ср. репостов
0
ср. комментов

Типы контента

Текст 13% Фото 73% Видео 13%

Популярные посты

Медикаментозная и лучевая терапия в лечении рака молочной железы

4 мар. 2026 г.
2.0k 10 5

Общая характеристика, термины и понятия трансплантологии

3 мар. 2026 г.
1.7k 13 6

❓ Через дефекты каких образований стенок брюшной полости могут выходить грыжевые мешки из брюшной полости? 1️⃣ белая линия живота 2️⃣ паховый канал 3️⃣ реберногрудинный треугольник диафрагмы 4️⃣

8 мар. 2026 г.
1.6k 19 4

Признаки поражения пищевода при некоторых заболеваниях

10 мар. 2026 г.
1.6k 8 5

⭐️ Вскрытие ганглиозной кисты Ганглиозная киста — образование, расположенное вплотную к капсуле сустава или сухожильному влагалищу, заполненное желеобразным и вязким содержимым.

13 мар. 2026 г.
1.4k 23 13

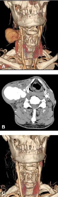
Мужчина, 55 лет. Обратился с жалобами на пульсирующее, болезненно образование на правой стороне шее, увеличивающееся в размерах. Около недели назад пациент получил травму острым предметом небольшого р

17 мар. 2026 г.
1.1k 17 2

Трансплантация печени при злокачественных опухолях

21 мар. 2026 г.
989 6 4

⭐️️️️️ Быстрый и удобный доступ к Telegram С учетом замедления Телеграма и на случай его блокировки, подготовили небольшую памятку для сохранения удобного и быстрого доступа. 1️⃣ Прокси. Достаточно

21 мар. 2026 г.
916 2 1

Экзартикуляция на уровне сустава Шопара

19 мар. 2026 г.
870 3 3

Трансметатарзальная ампутация

20 мар. 2026 г.
831 6 0
CONTENT AI ОТ TELEGRAPHYX

Хотите контент как у лучших? AI сделает

AI изучит стиль топовых каналов в нише и создаст уникальные посты, обложки и стратегию для вашего канала. Полный автопилот — от идеи до публикации.

Content AI — мониторинг 24/7 AI-посты в стиле канала Автообложки
Попробовать бесплатно Настройка за 5 минут · Без карты

Подписывайтесь на наши каналы

Кейсы, лайфхаки и новости о продвижении в мессенджерах

Telegram

@tgraphyx

Новости сервиса, кейсы клиентов

5 200+ подписчиков

Подписаться
Max

TeleGraphyx в Max

Всё о продвижении в Max

5 200+ подписчиков

Подписаться